
Apa Itu Erosi Gigi dan Bagaimana Cara Mengatasinya?
Erosi gigi adalah kondisi di mana email atau lapisan terluar dari gigi mengalami kerusakan dan menjadi aus. Meskipun email gigi merupakan bagian tubuh yang paling keras, kondisi ini tetap bisa terjadi karena berbagai faktor, termasuk konsumsi makanan dan minuman tertentu. Berbeda dengan tulang yang dapat diperbaiki oleh tubuh, email gigi yang rusak tidak bisa tumbuh kembali. Oleh karena itu, menjaga kesehatan gigi sangat penting untuk mencegah erosi dan masalah lainnya.
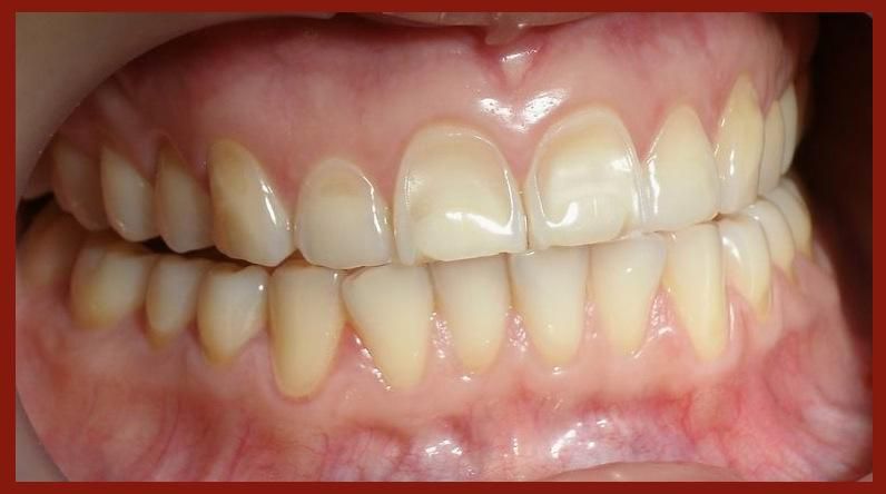
Tanda dan Gejala Erosi Gigi
Gejala erosi gigi dapat bervariasi tergantung tingkat keparahannya. Beberapa tanda yang umum meliputi:
- Gigi sensitif terhadap makanan manis, suhu panas, atau dingin.
- Perubahan warna gigi menjadi kekuningan atau adanya bercak putih (white spot).
- Gigi retak atau patah, tepi gigi menjadi kasar, tidak rata, dan bergerigi.
- Permukaan gigi yang halus dan mengilap.
- Lekukan di permukaan gigi.
Penyebab Erosi Gigi
Beberapa faktor yang dapat menyebabkan erosi gigi antara lain:
- Konsumsi makanan dan minuman asam, seperti soda, jus buah, atau makanan manis.
- Kurangnya perawatan gigi yang baik, seperti tidak menyikat gigi secara rutin.
- Kondisi medis tertentu seperti refluks gastroesofageal (GERD), xerostomia (mulut kering), atau gangguan makan seperti bulimia.
- Penggunaan obat-obatan tertentu seperti antihistamin dan aspirin secara rutin.
Tingkat Keparahan atau Tahapan Erosi Gigi
Erosi gigi dapat dibagi menjadi beberapa tahapan:
-
Tahap 1: Erosi Enamel
Pada tahap awal, hanya lapisan enamel yang terkena. Asam dapat mengurangi kekuatan gigi, sehingga gigi mulai mengalami pengikisan. Lama-kelamaan, gigi akan menjadi lebih transparan dan lesi erosif berkembang saat enamel menipis. -
Tahap 2: Erosi Dentin
Jika enamel sudah habis terkikis, maka lapisan dentin di bawahnya akan rusak. Dentin lebih lemah daripada enamel, sehingga lebih mudah rusak. Kerusakan pada dentin dapat menyebabkan gigi sensitif dan perubahan warna yang ekstrem.
Jenis-Jenis Erosi Gigi
Berdasarkan lokasi, erosi gigi dapat dibagi menjadi beberapa jenis:
- Erosi Oklusal: Terjadi pada permukaan gigi belakang, seperti geraham dan premolar.
- Erosi Palatal: Berkembang pada permukaan gigi dekat langit-langit mulut, biasanya memengaruhi gigi seri dan taring.
Komplikasi yang Dapat Terjadi
Jika tidak segera ditangani, erosi gigi dapat menyebabkan berbagai komplikasi, antara lain:
- Gigi kuning dan bernoda.
- Gigi menjadi sangat sensitif.
- Tepi gigi kasar.
- Bintik-bintik mengilap pada gigi.
- Meningkatnya risiko kerusakan gigi.
- Meningkatnya risiko gigi berlubang.
- Gigi menjadi transparan atau tembus pandang.
- Gigi patah.
Perawatan Erosi Gigi
Perawatan erosi gigi bergantung pada tingkat keparahannya. Beberapa opsi perawatan yang tersedia antara lain:
- Penambalan Rongga: Cocok untuk erosi ringan dengan area yang kecil.
- Veneer: Digunakan untuk erosi yang lebih besar, terutama pada satu sisi gigi.
- Mahkota Gigi: Diperlukan untuk erosi lanjut yang memengaruhi lebih dari satu sisi gigi.
- Inlay dan Onlay: Digunakan sebagai alternatif mahkota jika rongga terlalu besar untuk penambalan.
Pencegahan Erosi Gigi
Mencegah erosi gigi cukup mudah dengan menjaga kebersihan dan kesehatan gigi. Beberapa cara pencegahan yang efektif antara lain:
- Mengonsumsi makanan dan minuman asam hanya saat makan.
- Minum dengan cepat dan gunakan sedotan untuk mengurangi kontak dengan gigi.
- Konsumsi keju atau susu setelah makan untuk membantu menghilangkan asam.
- Mengunyah permen karet bebas gula untuk meningkatkan produksi air liur.
- Menunggu setidaknya satu jam sebelum menyikat gigi setelah makan atau minum sesuatu yang asam.
- Sikat gigi dua kali sehari dengan pasta gigi berfluoride.
- Gunakan pasta gigi dengan kadar fluoride yang sesuai usia, yaitu minimal 1.000 ppm untuk anak-anak hingga tiga tahun dan 1.350–1.500 ppm untuk usia tiga tahun ke atas.
- Meludah setelah menyikat gigi dan jangan membilas mulut agar fluoride dapat bertahan lebih lama pada gigi.



Posting Komentar